Faccette dentali

Le faccette dentali estetiche sono sottili rivestimenti in ceramica o composito applicati sulla superficie dei denti per migliorarne l’aspetto e correggere i difetti del tuo sorriso. Il nostro studio dentistico a Modena è riconosciuto come un centro di eccellenza per le faccette dentali.

 

Grazie alle faccette migliaia di persone sono tornate a sorridere, anche quando pensavano fosse impossibile. Un bel sorriso con denti perfetti può fare davvero la differenza, migliorare la tua autostima e la tua vita sociale: la soluzione esiste!

In questa pagina troverai risposte ai tuoi dubbi.

 

Contenuto redatto e revisionato dal Dr. Simone Vaccari, Odontoiatra esperto in Estetica Dentale — Studio Vaccari, Modena.

 

Ti spiego quello che dovresti sapere sulle faccette dentali
In questo video illustro brevemente che cosa sono le faccette dentali, uno dei trattamenti in cui siamo maggiormente esperti nel nostro studio dentistico di Modena.

Quando è utile applicare le faccette dentali?

Grazie alle faccette dentali, si può ottenere un sorriso praticamente… perfetto. Infatti, tramite questo trattamento, è possibile modificare forma, lunghezza, colore e posizione dei denti.

Principalmente, le faccette estetiche consentono di intervenire su inestetismi o difficoltà masticatorie legate a queste situazioni:

HAI BISOGNO DI MAGGIORI INFORMAZIONI?
CONTATTACI
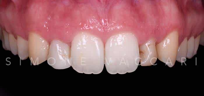
Prima
Faccette dentali in ceramica - dopo Dopo

Come si applicano le faccette ai denti? La procedura e le sedute

L’applicazione delle faccette dentali è una procedura di precisione che richiede di affidarsi a mani esperte. Per questo motivo, durante la prima visita, sarà molto importante comunicare le proprie esigenze all’odontoiatra, che studierà il personale caso clinico del paziente e si deciderà insieme come procedere.

 

Verranno prese le impronte dentali necessarie alla realizzazione delle faccette in ceramica. Inoltre, lo specialista in estetica dentale progetterà una previsualizzazione estetica computer guidata, per mostrare al paziente il risultato del trattamento. Una volta stabilito il risultato, si fisseranno le due sedute necessarie per trasformare il sorriso del paziente.

 

Prima di cementare le faccette, potrebbe essere necessario un trattamento di ortodonzia invisibile, per correggere la posizione imperfetta di alcuni denti.

 

L’ortodonzia invisibile è necessaria anche nel caso in cui il paziente non desideri limare i propri denti: in questo caso, è prevista l’applicazione delle faccette tramite una tecnica no prep, senza la preparazione dentale. Diversamente, può essere effettuata una lieve limatura superficiale dello smalto, per il fissaggio delle faccette.

 

Le faccette per denti sono realizzate ad hoc, e il colore dovrà essere adattato alla dentatura naturale. Le prove estetiche preliminari sono necessarie per verificare che il trattamento sia in armonia con il sorriso, il resto della dentatura e le caratteristiche facciali del paziente, prima di cementare le faccette dentali.

 

A distanza di due settimane (necessarie alla realizzazione del prodotto) verranno cementate definitivamente le faccette. I tempi potrebbero aumentare o diminuire anche a seconda del numero di denti coinvolti.

Quante sedute occorrono per mettere le faccette ai denti?

Occorrono due sedute per il trattamento:

  • Previsualizzazione ed eventuale preparazione.
  • Cementazione definitiva.

Grazie alla previsualizzazione, potrai vedere in anteprima il risultato finale del trattamento direttamente sul tuo sorriso. Solo quando avrai piena convinzione del trattamento, si procederà con la eventuale preparazione del dente e la successiva cementazione definitiva.

Faccette dentali - prima Prima
Federica p dopo il trattamento con le faccette Dopo

Perché scegliere le faccette dentali?

I vantaggi delle faccette dentali sono innumerevoli, ed è poco l’impegno richiesto al paziente:

  • Oltre alla visita preliminare, la procedura richiede solo due appuntamenti.
  • La tecnica è molto conservativa: solo una minima parte del dente viene rimossa (in alcuni casi i denti non vengono nemmeno toccati).
  • Le faccette in ceramica sono biocompatibili: la ceramica è il materiale più tollerato dal dente e dalla gengiva.
  • Le faccette hanno un aspetto naturale: sono il restauro con la più alta resa estetica in odontoiatria.
  • Una volta cementate, le faccette risultano impercettibili anche all’osservatore più attento.
  • Il risultato è permanente.

Faccette dentali: prima e dopo, cosa cambierà?

Le differenze saranno evidenti, e le noterai tutte! Un lavoro ben fatto avrà conseguenze positive:

  • Tornerai a sorridere senza vergogna.
  • Acquisirai maggiore sicurezzae autostima.
  • Osserverai risultati duraturi nel tempo.
  • Le faccette saranno più resistenti dei denti naturali.

Cosa puoi ottenere con le faccette dentali?

Ecco i numerosi benefici del trattamento:

  • Denti bianchi e brillanti.
  • Correzione e riallineamento di elementi dentali imperfetti e poco armonici.
  • Uniformità cromatica e della superficie dello smalto.
  • Miglioramento degli spazi neri tra un dente e l’altro.
  • Allungamento di denti troppo corti.
video
Le parole di Federica
“Mi sono fidata ciecamente di Simone Vaccari per il trattamento con le faccette, e lo rifarei mille volte!”
GUARDA IL VIDEO
Le Recensioni dei nostri pazienti
5/5
Federica Marulli
Non è più andare dal dentista è andare a trovare dei cari amici

Lo studio del Dottor Vaccari a Modena è fantastico. Le ragazze son tutte gentilissime, simpatiche e ti fanno sentire a casa. Sono diversi anni che sono paziente dello studio, ma non è più andare dal dentista è andare a trovare dei cari amici. Grazie ragazze per non far sentire il “peso” di uno studio dentistico a chi come me ne era terrorizzata.

LEGGI DI +
5/5
Claudia Vignali
Il mio “eroe”

Che dire di Simone?? In un certo senso è il mio “eroe”… Chi mi conosce mi dice che sono una ragazza disponibile, simpatica, gentile e un tempo solare!! Beh diciamo che non ho perso la solarità che da sempre racchiudo… Ma un enorme problema ai denti mi ha fatto perdere il coraggio di sorridere.

LEGGI DI +
5/5
Lorella Prina
Grazie per la pazienza, le attenzioni e la professionalità

Fino a poco tempo fa’ solo a pensare di entrare in un ambulatorio dentistico mi creava ansia, paura….diciamo pure PANICO! Ora….non solo entro con il sorriso…ma con il PIACERE di essere li’…. dal DENTISTA!!!! Seduta dopo seduta, la paura è svanita…e vedere il mio sorriso migliorare un po’ alla volta…beh….è una bella soddisfazione!

LEGGI DI +
5/5
Valentina Vincenzi
Adesso posso guardare alla mia nuova vita con un nuovo sorriso

Negli ultimi due anni la mia vita è decisamente cambiata in seguito ad un grave incidente che mi ha portata a fermarmi e a guardare il mondo da una nuova prospettiva. Avere 24 anni e vedere il mondo che va avanti mentre tu sei costretta a stare immobile su un letto per mesi non è sicuramente qualcosa di facile da affrontare.

LEGGI DI +
5/5
Sefora Cirrincione
Qualcosa che non potevo nemmeno immaginare

Mmh… 5 stelle? No, non bastano per esprimere il mio giudizio….Io vi darei tutta la Via Lattea. Se dovessi descrivere in poche parole cosa penso del Dott. Vaccari e dei suoi collaboratori direi che sono un esempio di eccellente professionalità, profonda dedizione ed estrema cura.

LEGGI DI +
5/5
Mariella Gasparini
Da sempre ho avuto il terrore della poltrona…

Da sempre ho avuto il terrore della poltrona, per qualsiasi cosa, anche solo per l’igiene dentale o prendere un’impronta, poi, e non so come, Simone mi ha convinta a fare “qualcosa di serio” (un impianto) per la mia bocca… L’avessi fatto prima!!! Nessun dolore e risolto tutto in poche sedute.

LEGGI DI +
5/5
Natascia Fregni
Capisci subito la professionalità che regna

Non ci sarebbe molto da dire, basta entrare nello studio e capisci subito la professionalità che regna, lo staff è molto gentile e preparato. Il Dottore è bravissimo e si vede che adora quello che fa. Grazie per avermi messo quasi a nuovo (ancora non ho finito) la bocca.

LEGGI DI +
5/5
Silvia Bardelli
Hanno conquistato la mia fiducia

Simone é un dentista eccellente e perfezionista, oltre che una persona attenta e scrupolosa. Dopo alcune esperienze negative con altri dentisti, ho trovato lui e il suo staff che mi hanno sempre dimostrato alta professionalità e hanno conquistato totalmente la mia fiducia. Grazie mille, ci vediamo prestissimo.

LEGGI DI +
5/5
Elisa Soffiati
Gentilezza, Disponibilità e Pazienza

La gentilezza di tutte le segretarie: gli occhi dolci di Debora, il sorriso e la grazia di Isabella, il volto angelico di Chiara… La simpatia di Enrico, costantemente allegro specialmente ed anche nei momenti più difficili; la disponibilità di Francesco, pragmatico e cordiale; la frizzantezza di Ilaria;

LEGGI DI +
5/5
Angela Brocca
Non puoi più farne a meno

Quando provi lo studio Vaccari, non puoi più farne a meno! Qualità, professionalità, avanguardia e pulizia sono solo alcune delle mille qualità dello Staff. Quando la paura si trasforma in sicurezza anche il dentista diventa Casa! Grazie Simone e Chiara siete speciali!

LEGGI DI +
5/5
Calogero Curreri
Grazie per avermi ridato il sorriso

Provenendo, purtroppo, da una brutta esperienza ero molto scettico e titubante. Poi l’esigenza mi ha costretto e portato a cercare un nuovo Studio. Mai scelta fu più felice! Ho trovato nel Dott. Vaccari una “persona” attenta alle mie esigenze, altamente competente ed aggiornato nelle metodologie più innovative che ha saputo adattare alla mia situazione.

LEGGI DI +
5/5
Franca Laface
Staff, gentile, professionale e disponibile

Consiglio assolutamente il Dr. Simone Vaccari, è un dentista fantastico, attento e con una rara capacità di giudicare ciò che è più giusto per il paziente. Ha migliorato il mio sorriso già solo con le tecniche di sbiancamento. Sono veramente soddisfatta!

LEGGI DI +
5/5
Giovanna Bonfatti
Ero terrorizzata dal dentista ora vado tranquilla

Mi sono recata allo Studio del Dr Vaccari per fare lo sbiancamento. Ho trovato da subito un ambiente molto affabile e competente. Terrorizzata dal recarmi dal dentista ora vado tranquilla. Ed è per questo che ho sostituito le otturazioni (ora i miei denti sono perfetti) e ho deciso di intraprendere il viaggio dell’estetica dentale.

LEGGI DI +
5/5
Aneta Camellini
Non è solo uno studio è una famiglia

Non è solo uno studio è una famiglia che si prende cura della persona in tutte le sue esigenze complementando con le loro impeccabili competenze riuscendo a trovare una soluzione ad ogni problematica con eccezionale professionalità riuscendo a regalarti un sorriso che non smetteresti più di mostrare!! TOP!

LEGGI DI +
5/5
Mariangela Sapuppo
Conoscere Simone cambia la vita

Il mio sorriso non mi piaceva, mi faceva sentire a disagio, poi ho conosciuto il Dr. Vaccari, mi sono affidata completamente e non avrei potuto trovare di meglio, oggi sorrido sempre, finalmente senza imbarazzo.

LEGGI DI +
5/5
Claudio Palaia
Location davvero molto bella

Location davvero molto bella, che mette, da subito a proprio agio il cliente. Non ero mai stato da un dentista con uno studio così curato, grande professionalità e gentilezza da parte del Dottor Vaccari il quale dandomi un’accurata spiegazione delle mie problematiche mi ha immediatamente instradato verso la soluzione migliore.

LEGGI DI +
5/5
Carmen Oliva
Simone e tutto il suo staff sono fantastici

Simone e tutto il suo staff sono fantastici…il Dottore è gentilissimo e super professionale come tutta la sua equipe…per me Simone è il numero uno indiscusso un perfezionista nel suo lavoro e lo fa veramente con passione e dedizione…complimenti Dottore.

LEGGI DI +
5/5
Davide Ghidoni
È un piacere alzarsi la mattina e vedere i denti così

Ho conosciuto Simone qualche anno fa nel negozio dove lavoro, poi siamo diventati amici e nel frattempo sono diventato un suo paziente. Semplicemente fantastico! Ho provato ultimamente lo sbiancamento dentale e devo dire che dopo pochi giorni i risultati erano già più che evidenti.

LEGGI DI +
5/5
Marco Montermini
Avevo il terrore del dentista poi…

Cosa posso dire di più!!!! Da quando sono piccolo ho sempre avuto il terrore del dentista. Ma dal giorno che sono andato da Simone (grazie a mia sorella )….mi è passato subito. Uno studio accogliente e super pulito. Uno staff speciale…. Simone è un vero professionista . Grazie di cuore.

LEGGI DI +
5/5
Annalisa Ricci
La cura dei dettagli è ciò che fa la differenza tra un lavoro mediocre ed uno perfetto

La professionalità di Simone e dei suoi collaboratori è unica. Un team molto affiatato e di grandissima competenza tecnica… Non potevo essere in mani migliori! La cura dei dettagli è ciò che fa la differenza tra un lavoro mediocre ed uno perfetto.

LEGGI DI +

Le faccette dentali estetiche possono staccarsi facilmente?

No, la cementazione è irreversibile. Tuttavia, potrebbe verificarsi questa possibilità qualora ti lasciassi irretire da proposte e soluzioni a basso costo: il distacco e la durata della faccetta dipendono da una eccessiva limatura dello smalto.

 

L’adesione della faccetta allo smalto è di gran lunga superiore a quella della dentina (peraltro, in caso di eccessiva asportazione dello smalto, potrebbe verificarsi sensibilità dentinale).

 

Affidati sempre a un professionista che metta in atto una preparazione dentale micro invasiva, in grado di preservare la salute dei tuoi denti naturali. Eviterai così spiacevoli disagi come il distacco delle faccette e l’aumento della sensibilità.

 

Quanto durano le faccette dentali?

La durata nel tempo di questo trattamento è sorprendente: dico spesso che le faccette dentali sono il più longevo trattamento di estetica dentale. Infatti, le faccette sono molto resistenti e tendono a deteriorarsi con minor frequenza rispetto ai denti naturali.

 

controlli periodici e le regolari sedute di igiene dentale sono comunque da considerarsi obbligatorie, esattamente come per i denti naturali. In questo modo, le faccette dentali si manterranno bianche e luminose nel tempo.

Faccette dentali - prima Prima
Federica p dopo il trattamento con le faccette Dopo

Controindicazioni

Le faccette dentali, pur offrendo numerosi vantaggi estetici, possono presentare alcune controindicazioni – o meglio limiti – che è importante considerare. In particolare, il trattamento è sconsigliato in presenza di malocclusioni come morso profondo, morso crociato o testa a testa, che espongono le faccette a carichi eccessivi, aumentando il rischio di frattura o distacco.

 

Anche il bruxismo rappresenta una controindicazione, se non trattato adeguatamente con la riabilitazione dei denti posteriori prima dell’applicazione delle faccette anteriori. Inoltre, i denti mal posizionati richiedono un intervento ortodontico prima di considerare le faccette. In ogni caso, è fondamentale affidarsi a professionisti esperti per garantire un risultato ottimale e duraturo, evitando soluzioni economiche che potrebbero compromettere la salute dentale e la qualità del trattamento.

In questo video rispondo alle domande più frequenti dei pazienti sulle faccette dentali

 

Cosa aspettarsi da questo trattamento?

La durata nel tempo di questo trattamento è considerevole, anche se l’aspetto e la gradevolezza estetica delle faccette dipendono anche dalla cura che ne ha il paziente a casa. Come abbiamo detto sopra, è caldamente consigliato sottoporsi a controlli periodici e regolari.

 

Quanto costa applicare le faccette dentali estetiche?

Il prezzo delle faccette dentali è determinato da vari fattori: manodopera, materiali, numero di denti coinvolti, caso clinico e situazione soggettiva del paziente. I prezzi saranno in linea con l’offerta: non fidarti di soluzioni low cost che potrebbero deludere le tue aspettative.

 

Ricorda di non calcolare il costo delle faccette autonomamente, partendo dal prezzo di una singola faccetta: non sarebbe una cifra veritiera e non terrebbe conto di tutte le variabili del caso.

 

Per darti comunque un’idea del range di mercato, tieni presente che possiamo passare da casi semplici che richiedono un minimo investimento di 2.000 euro a casi complessi, in cui viene riabilitata l’intera bocca, e che comportano un costo che può arrivare anche a superare i 40.000 euro.

 

Faccette estetiche per denti di qualità

Ricorda di rivolgerti a uno studio dentistico qualificato e a professionisti esperti e competenti, che sappiano garantirti un trattamento soddisfacente, efficace e duraturo, servendosi di materiali di ottima qualità. Il risultato sarà eccellente, sia in termini di estetica, sia in termini di funzionalità.

Prima
Faccette dentali in ceramica - dopo Dopo

Che differenza c’è tra una faccetta dentale in ceramica e una corona?

Le faccette sono applicate nella parte vestibolare (esterna) del dente naturale. Solitamente, questa procedura comporta una minima o nessuna preparazione dentale. Le faccette sono un trattamento cosmetico, applicate sui denti per ottenere un sorriso più naturale, luminoso e gradevole.

 

La corona dentale o capsula ricopre l’intero dente, ed è utilizzata nelle zone di maggiore rilevanza estetica. Qui la limatura del dente è più invasiva, poiché viene asportata una maggiore porzione di smalto e dentina, spesso anche sani.

Casi reali di denti con faccette applicate: scopri i prima/dopo delle faccette dentali in ceramica del nostro studio dentistico

Effettuiamo da anni questo trattamento e abbiamo una lunga storia di pazienti soddisfatti. Di seguito puoi vedere alcuni dei nostri casi studio relativi a denti con faccette estetiche, sono una minima parte dei pazienti che si sono rivolti al nostro studio dentistico. Pochissime realtà in Italia possono vantare una esperienza comprovata così diffusa nel campo delle faccette estetiche.

video
L'esperienza di Giovanna con le faccette
Il prima/dopo di Giovanna con le faccette dentali estetiche e la sua opinione su questo trattamento effettuato nel nostro studio.
GUARDA IL VIDEO
giovanna faccette prima Prima
Giovanna faccette dopo Dopo
Prima e dopo di Giovanna con le faccette Giovanna prima e dopo il trattamento con le faccette
video
L'esperienza di Paolo
Il prima/dopo di Paolo con le faccette dentali estetiche e la sua opinione su questo trattamento effettuato nel nostro studio.
GUARDA IL VIDEO
Paolo prima delle faccette Prima
Paolo dopo le faccette Dopo
Paolo prima e dopo il trattamento con le faccette Paolo prima e dopo il trattamento con le faccette
video
L'esperienza di Massimiliano
Il prima/dopo di Massimiliano con le faccette dentali estetiche e la sua opinione su questo trattamento effettuato nel nostro studio.
GUARDA IL VIDEO
Massimiliano prima delle faccette Prima
Massimiliano dopo le faccette Dopo
Massimiliano prima e dopo il trattamento con le faccette Massimiliano prima e dopo il trattamento con le faccette
video
L'esperienza di Francesca
Il prima/dopo di Francesca con le faccette dentali estetiche e la sua opinione su questo trattamento effettuato nel nostro studio.
GUARDA IL VIDEO
Francesca prima delle faccette dentali Prima
Francesca dopo le faccette dentali Dopo
Francesca prima e dopo il trattamento con le faccette Francesca prima e dopo il trattamento con le faccette
video
L'esperienza di Benedetta
Il prima/dopo di Benedetta con le faccette dentali estetiche e la sua opinione su questo trattamento effettuato nel nostro studio.
GUARDA IL VIDEO
Benedetta prima delle faccette dentali Prima
Benedetta dopo le faccette dentali Dopo
Benedetta prima e dopo il trattamento con le faccette Benedetta prima e dopo il trattamento con le faccette
video
L'esperienza di Jessicah
Il prima/dopo di Jessicah con le faccette dentali estetiche e la sua opinione su questo trattamento effettuato nel nostro studio.
GUARDA IL VIDEO
Jessicah prima delle faccette dentali Prima
Jessicah dopo le faccette dentali Dopo
Jessicah prima e dopo il trattamento con le faccette Jessicah prima e dopo il trattamento con le faccette
video
L'esperienza di Samantha
Il prima/dopo di Samantha con le faccette dentali estetiche e la sua opinione su questo trattamento effettuato nel nostro studio.
GUARDA IL VIDEO
Samantha prima delle faccette dentali Prima
Samantha dopo le faccette dentali Dopo
Samantha prima e dopo il trattamento con le faccette Samantha prima e dopo il trattamento con le faccette
video
L'esperienza di Valentina
Il prima/dopo di Valentina con le faccette dentali estetiche e la sua opinione su questo trattamento effettuato nel nostro studio.
GUARDA IL VIDEO
Valentina prima delle faccette dentali Prima
Valentina dopo le faccette dentali Dopo
Valentina prima e dopo il trattamento con le faccette Valentina prima e dopo il trattamento con le faccette
video
L'esperienza di Laura G.
Il prima/dopo di Laura G. con le faccette dentali estetiche e la sua opinione su questo trattamento effettuato nel nostro studio.
GUARDA IL VIDEO
Laura prima delle faccette dentali Prima
Laura dopo le faccette dentali Dopo
Laura prima e dopo il trattamento con le faccette Laura prima e dopo il trattamento con le faccette
video
L'esperienza di Sefora
Il prima/dopo di Sefora con le faccette dentali estetiche e la sua opinione su questo trattamento effettuato nel nostro studio.
GUARDA IL VIDEO
Sefora prima delle faccette dentali Prima
Sefora dopo le faccette dentali Dopo
Sefora prima e dopo il trattamento con le faccette Sefora prima e dopo il trattamento con le faccette
video
L'esperienza di Claudia
Il prima/dopo di Claudia con le faccette dentali estetiche e la sua opinione su questo trattamento effettuato nel nostro studio.
GUARDA IL VIDEO
Claudia prima delle faccette dentali Prima
Claudia dopo le faccette dentali Dopo
Claudia prima e dopo il trattamento con le faccette Claudia prima e dopo il trattamento con le faccette
Tutte le testimonianze dei nostri pazienti
Le nostre guide sulle faccette dentali
Contattaci per info o prenotazioni


Compila il form, ti risponderemo al più presto!

    SPECIFICARE IL TIPO DI VISITA *
    MESSAGGIO


    I campi contrassegnati da asterisco (*) sono obbligatori.

    Il nostro centro d’eccellenza per le faccette dentali a Modena

    Vieni a trovarci per la tua prima visita.

    Dove Siamo
    TELEFONO WHATSAPP E-MAIL