Quando i tuoi denti iniziano a diventare più corti, più sensibili o appaiono scheggiati, non si tratta solo di un problema estetico. Infatti, questi sono i segnali dell’usura dentale, un cambiamento strutturale progressivo che richiede particolare attenzione e un piano di trattamento mirato per la ricostruzione dei denti usurati, basato sulle evidenze scientifiche.
Nel nostro studio odontoiatrico a Modena, affrontiamo ogni giorno la ricostruzione dei denti consumati con un approccio che unisce la precisione scientifica alla massima attenzione estetica. Ti accompagniamo in un percorso personalizzato per ripristinare la forma, la funzione e la bellezza naturale del tuo sorriso, con soluzioni sicure e durature.
Entriamo ora insieme nel vivo dell’argomento e capiamo perché i denti si consumano, argomento approfondito da molti studi scientifici.
L’usura dei denti (definita in ambito scientifico Erosive Tooth Wear, ETW) è la perdita cumulativa di tessuto duro (smalto e dentina) non causata da batteri. È un fenomeno multifattoriale sempre più diffuso e non è legato solo all’età; infatti, deriva quasi sempre da un’interazione tra attacchi chimici e forze meccaniche: sono le 3 cause principali dell’usura dentale, cioè erosione, attrito e abrasione.
I denti usurati non sono un fenomeno raro. Infatti, recenti studi scientifici indicano che circa il 30% dei giovani adulti presenta già segni di usura significativa; 3 persone su 10 della popolazione mondiale non è certo un dato trascurabile, e ne parlo in un mio video introduttivo.
Vediamo insieme più da vicino le tre cause dei denti consumati: erosione, attrito e abrasione.
Come abbiamo accennato, l’usura non è mai determinata da un unico fattore, ma dall’azione combinata di tre meccanismi principali che aggrediscono la struttura del dente, vediamoli insieme.
L’erosione dentale può avere cause organiche o comportamentali: si riferisce all’attacco chimico degli acidi che ammorbidisce e dissolve la superficie del dente. Questo ammorbidimento rende lo smalto molto vulnerabile.
Le fonti acide possono essere:

Esempio impatto vomito ripetuto (bulimia)

Esempio di reflusso gastro-esofageo unito a consumo quotidiano di spremuta di limone
In caso di smalto consumato, è possibile fermare la progressione erosiva con alcuni rimedi pratici.
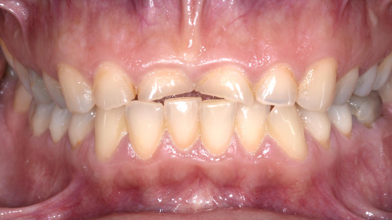
L’attrito è l’usura del dente causata dal contatto dente-contro-dente, e coinvolge tanto i denti anteriori quanto quelli posteriori. Se nei settori posteriori gli effetti passano quasi inosservati, nei settori anteriori il danno estetico è più evidente, e induce le persone a richiedere un appuntamento dal dentista.
La causa principale di questa condizione è il bruxismo (digrignamento o serramento i denti), che sottopone le superfici a carichi eccessivi, consumando rapidamente il tessuto.

Esempio danni provocati dal bruxismo
Comportamenti viziati come il bruxismo possono causare fragilità dentale e denti che si sgretolano o scheggiano. Se l’usura dentale non ha ancora raggiunto la dentina, la soluzione consigliata dall’odontoiatra è tipicamente l’utilizzo del bite dentale.
Le abrasioni sono l’usura causata da oggetti esterni. Derivano spesso da spazzolamento troppo energico, uso di spazzolini con setole dure o da abitudini viziate (mordicchiare penne, unghie). L’abrasione dei denti può rendere i denti suscettibili a graffi, lesioni e colletti scoperti; peraltro, i colletti dentali scoperti determinano spesso sensibilità dentale.
Inoltre, in odontoiatria è nota una particolare forma di usura dentale che appare come una lesione a forma di cuneo (o V) al colletto del dente (vicino alla gengiva), determinata da forze di carico anomale durante la masticazione o il bruxismo.
C’è poi una lesione specifica, la cosiddetta abfraction (AF), dall’inglese scientifico: è un tipo di usura dei denti in cui si perde sostanza dentale (smalto e dentina), di solito vicino alla gengiva (regione cervicale).La causa ipotizzata è lo stress occlusale (legato ad attrito e bruxismo), generato dalle forze masticatorie.

Esempio di abfrazione dentale
Infatti, quando addenti o serri i denti, si creano forze che fanno leggermente flettere il dente. Questa flessione concentrerebbe lo stress sul colletto del dente, causando la rottura e il “cedimento” del tessuto dentale, e creando una tipica lesione a forma di cuneo. Questa condizione rende il dente molto fragile e accelera il danno dentale.
In questo video spiego in maniera semplice il fenomeno dell’abfrazione.
Ma come individuare i segnali dell’usura dentale e come capire se sia il caso di intervenire in fretta?
L’usura è progressiva, e intervenire ai primi segnali è essenziale per evitare trattamenti più complessi in futuro. Ecco cosa notare:
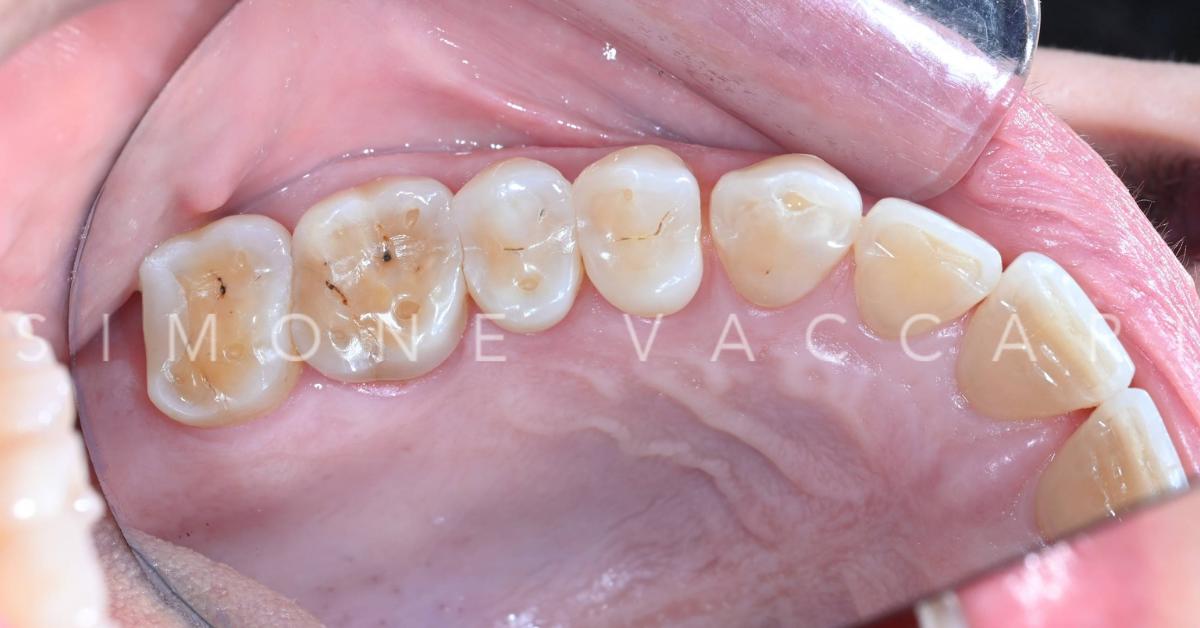
La presenza di segni clinici come il cupping e i restauri sopraelevati è significativa, perché sposta la diagnosi da un problema estetico a un caso di usura più complessa, orientando direttamente la strategia terapeutica.
Oltre alla dentina esposta, altri segni clinici di usura dentale avanzata consentono una diagnosi accurata, e parliamo sostanzialmente di cupping e di “restoration standing proud”:
Entrambe queste condizioni indicano un forte stress erosivo, spesso peggiorato dall’azione meccanica, che sta compromettendo la struttura dentale.
Ora che abbiamo visto le cause e i segnali dell’usura dentale, vediamo come agire sul danno.
Quando la prevenzione non è più sufficiente, gli obiettivi del trattamento sono:
Nel nostro team prediligiamo un approccio orientato alla minima invasività e alla massima resistenza strutturale, orientandoci al restauro additivo: si aggiunge materiale dove è stato perso, senza limare ulteriormente il tessuto sano del dente.
Affrontiamo ora il grande e interessante tema della ricostruzione dei denti consumati. L’obiettivo è triplice: strutturale, funzionale ed estetico. Come ben sappiamo, il sorriso è un biglietto da visita importante, e può influenzare sensibilmente la tua autostima e la tua vita di relazione.
A questo punto è fondamentale ripristinare forma, funzione e verticalità dei denti, eliminando l’ipersensibilità e prevenendo ulteriori danni. Ricostruire e riabilitare il sorriso è possibile con alcune soluzioni professionali.
Le soluzioni per riabilitare i denti consumati sono i restauri in ceramica. Abbiamo tre strade percorribili:
Se ti preoccupa perdere tessuto sano del tuo dente naturale, ti tranquillizzo subito: il nostro approccio è conservativo e additivo.
Trattare l’usura significa ripristinare l’equilibrio dentale, spesso ricorrendo al restauro additivo (aggiungere materiale dove è stato perso) anziché all’approccio sottrattivo (limare il dente). Questo approccio garantisce un risultato stabile e duraturo, preservando il tessuto sano.
Una considerazione importante: l’usura dentale è un processo che non migliora da solo. Intervenire il prima possibile con una diagnosi accurata e un piano restaurativo personalizzato è l’unico modo per garantire la salute duratura del tuo sorriso.
Non aspettare che il danno diventi irreversibile. Prenota oggi con noi la tua visita specialistica a Modena: ci prenderemo cura del tuo sorriso e della tua salute orale con impegno, passione e grande professionalità.
Se qualcosa ti è sfuggito, di seguito trovi le risposte ad alcune delle domande più frequenti in tema di usura dentale.
Ci sono alcune questioni che generano spesso curiosità, domande e richieste:
Se pensi di avere problemi di usura dentale, sappi che fissare presto un appuntamento dal dentista è un gesto d’amore verso il tuo sorriso, e ci consente di prenderci cura della tua salute orale con la massima efficacia e serenità.
Vieni a trovarci per la tua prima visita.
Compila il form, ti risponderemo al più presto!
Sui due molari è presente una otturazione bianca e attorno appara ampia area di erosione
Stesso fenomeno "Restoration standing proud" da altra angolazione
I danni del bruxismo prima del trattamento
Dopo il trattamento
Usura causata da erosione prima del trattamento
Dopo il trattamento