La storia di Michele DS.

La parodontite sembra un destino, ma non lo è. Michele, originario della Toscana, ma da tempo residente in provincia di Modena per lavoro, combatteva da anni con un problema invalidante.

Il problema che combattevo da tempo era la parodontite, anche se ancora non lo sapevo: avevo denti sani ma gengive sofferenti. Ero arrivato quasi a una crisi psicologica, non vedevo via d’uscita”.

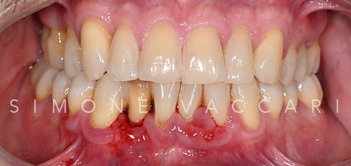
Michele bocca prima della cura della parodontite Prima
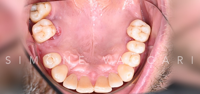
Michele bocca dopo la cura della parodontite Dopo

La storia di Michele è preziosa per capire quanto sia importante rivolgersi a uno studio odontoiatrico serio, che sappia davvero occuparsi di parodontite, una malattia subdola, spesso trascurata e poco nota anche a molti studi odontoiatrici.

 

Infatti, circa il 60% della popolazione italiana è colpita da una forma di parodontite da lieve a grave. Circa il 10-14% di persone in Italia ha una parodontite grave che, senza diagnosi precoce e adeguata terapia, può causare la perdita dei denti.

 

Troppe persone non sanno di avere una parodontite in corso e non ricevono cure. Un’indagine Istat del 2016 ha accertato che solo l’1,2% delle persone riceve cure parodontali adeguate e complete.

 

Lo stesso Michele ha faticato parecchio prima di trovare lo studio dentistico adeguato alle sue esigenze:

Dal sito della mia assicurazione sanitaria ho scelto lo studio con la miglior recensione e ho fissato un appuntamento. C’era un ascesso in atto, e la dottoressa, seppur gentile, mi ha comunicato che avrei prima dovuto fare una panoramica, ma era impossibile presso quello studio, troppo piccolo e privo dell’attrezzatura adeguata.”

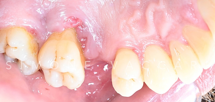
Michele arcata prima della cura della parodontite Prima
Michele arcata dopo la cura della parodontite Dopo

Trascorsi i giorni necessari per fare la panoramica altrove e tornare dalla dottoressa, la risposta che Michele aveva ricevuto era di dover togliere il dente.

A questo punto ho deciso di andarmene: pur non essendo un esperto in materia, ho capito che qualcosa non andava. Non ho mai ricevuto una risposta ferma e decisa, non mi sono mai state prospettate altre opzioni: non ho trovato nessuno studio dentistico che si occupasse nello specifico di parodontite, giravano tutti attorno al problema, proponendomi detartrasi o igiene dentale.”

Michele ha avuto diverse altre esperienze negative e insoddisfacenti, prima di arrivare presso il nostro studio odontoiatrico a Modena. A questo punto, la storia di Michele prende una svolta. Michele ha affermato con certezza: Qui sei nel posto giusto.”

 

Infatti ha scoperto che “c’è il Dottor Bernardelli, parodontologo specialista”. Finalmente, per la prima volta, esisteva un programma specifico:

“c’è un trattamento da fare, sì laborioso, ma che ha trasformato la mia bocca e il mio sorriso.”

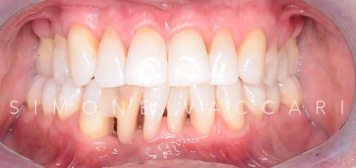
Michele prima della cura della parodontite Prima
Michele dopo la cura della parodontite Dopo

Michele ha poi descritto come la tecnologia contribuisca alla consapevolezza di ogni paziente:

I medici fanno fotografie della tua bocca e della tua situazione dentale, coinvolgendoti e rendendoti partecipe; vedi la tua bocca su un megaschermo, quindi hai molta più coscienza di ciò che accade.”

Un terzo, grande vantaggio è la possibilità di fare tutto in sede, un aspetto che Michele considera come “un valore aggiunto incredibile.” Ha riflettuto sulle difficoltà che si incontrano negli studi piccoli, dove non ci sono attrezzature adeguate e ci si deve spostare in sedi diverse per visita, panoramica e ritiro degli esami, perdendo tempo. “Invece, dal dottor Simone Vaccari si riesce a fare tutto.”

 

Michele ha poi evidenziato la qualità della struttura: “Ci sono attrezzature modernissime” e la gentilezza del personale è “sincera, non artefatta.”

 

Michele ha concluso il suo racconto con un consiglio personale:

Questo studio è all’avanguardia per la cura della parodontite e ci metterei la mano sul fuoco. Senza ombra di dubbio. Sto già parlando di questa esperienza alle persone cui voglio bene: so cosa significa vivere con la parodontite e trovare finalmente lo specialista giusto.

video
L'esperienza di Michele DS. con le nostre terapie parodontali
«Mio padre, anziano, ha avuto gravi problemi di salute legati proprio a un’infezione partita dalla bocca. Una volta non c’era l’attenzione che c’è oggi, né gli strumenti. Ora so che prevenire e curare la parodontite ti cambia davvero la vita. E presso lo Studio Vaccari, per me, è stato possibile».
GUARDA IL VIDEO

La testimonianza di Michele ci riempie di emozione e gratifica il nostro lavoro. Se questa storia ha suscitato il tuo interesse, ti invito a guardare tutte le testimonianze dei pazienti e delle pazienti che hanno scelto il nostro studio odontoiatrico.

TELEFONO WHATSAPP E-MAIL