La storia di Aldo

Sono da sempre una persona allegra e solare. Per me sorridere non è mail stato un problema.
Immagino ti starai chiedendo perché sono finito da Simone.

Semplice ho sin da piccolo avuto il “mito” del sorriso perfetto. Quello che si vede solo in televisione.
E’ stato proprio questo grande desiderio a spingermi a migliorare il mio, anche se di fatto non mi arrecava problemi.
Perché rinunciare a un sogno che avevo sin da quando ero bambino?
Ed è così che sono arrivato in studio da Simone.

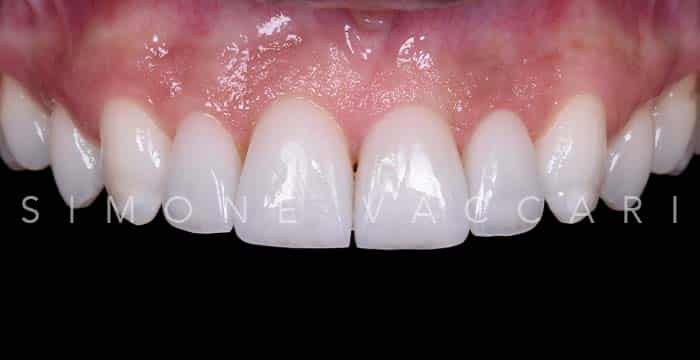
PRIMA
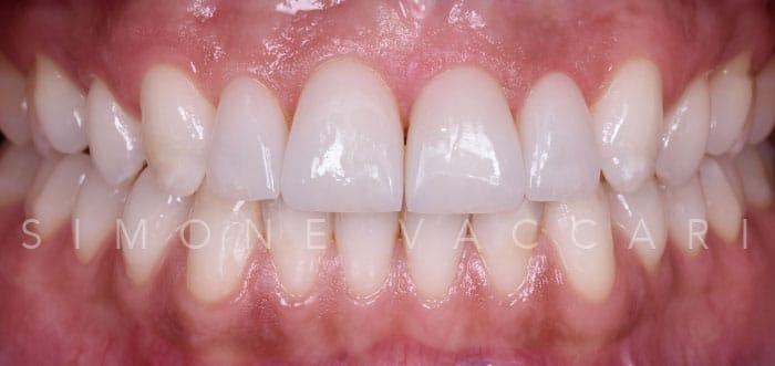
DOPO

Da subito ho avuto la percezione di essere nel posto giusto. Sono stato seguito nel mio cammino, non è stato ne facile ne breve, però mi sono sempre sentito accompagnato con passione e amore.
Oggi continuo a ridere come sempre, però il mio sorriso è esattamente quello che sognavo.
Grazie di cuore a Simone e a tutto il suo Staff, se tornassi indietro lo rifarei, anzi lo rifarei prima.

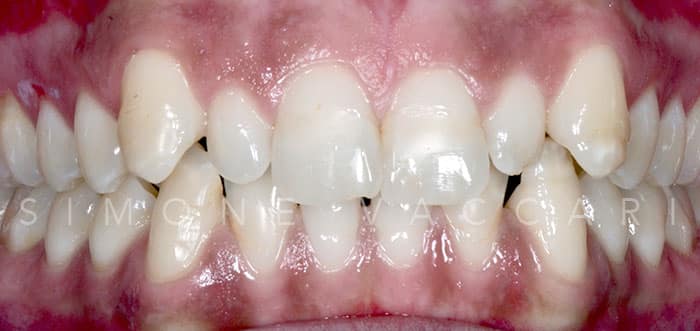
PRIMA
DOPO
HAI BISOGNO DI MAGGIORI INFORMAZIONI?
CONTATTACI
TELEFONO WHATSAPP E-MAIL