- Come capire se l’usura dentale ha compromesso l’estetica e la funzione?
- Perché i denti si rovinano e si consumano?
- Come avviene la ricostruzione: aggiungere, non togliere
- Le soluzioni avanzate di riabilitazione orale per ricostruire i denti usurati
- Cosa aspettarti dopo la ricostruzione: estetica e comfort masticatorio
- Mantenere i denti sani: l’importanza dell’igiene e del bite notturno
- Denti rovinati: quali segni di usura notare?
Tornare a sorridere con naturalezza è un regalo che meriti. Se ultimamente noti che i tuoi denti sono consumati e hanno perso la loro vitalità, sappi che è possibile rimediare. Infatti, grazie alla riabilitazione orale moderna e a tecniche non invasive come i table top, è possibile restituire forza e armonia al tuo sorriso. Scopriamo insieme come ridare luce ai tuoi momenti più belli.
Come capire se l’usura dentale ha compromesso l’estetica e la funzione?
Molte persone arrivano da noi, nel nostro studio dentistico di Modena, convinte che, avendo perso gran parte dello smalto dentale, l’unica soluzione rimasta sia l’estrazione o la devitalizzazione selvaggia. No! Se anche tu ti trovi in questa situazione, sappi che non è troppo tardi per recuperare il tuo sorriso e la funzionalità dei tuoi denti.
L’odontoiatria moderna ci insegna che è possibile intervenire quasi a ogni livello dell’usura dentale, a patto di abbracciare una prospettiva “olistica”, cioè completa: non dobbiamo curare il singolo “buco” o la singola scheggiatura, bensì riabilitare l’intero sistema che si è logorato.
Il momento di fissare un appuntamento dall’odontoiatra è adesso, soprattutto se avverti che:
- I tuoi denti sembrano “sparire” nelle gengive perché si sono accorciati.
- Il bordo dei denti è diventato talmente sottile da essere tagliente o trasparente.
- Senti che la tua masticazione è diventata “poco stabile”, come se non trovassi più il giusto incastro tra le arcate dentali.
Ma perché i denti si usurano?
Perché i denti si rovinano e si consumano?
Solitamente, le cause principali sono:
- Bruxismo e digrignamento: molto spesso, lo stress di ogni giorno si scarica sui denti, soprattutto di notte. Il digrignamento continuo erode lo smalto con una forza significativamente più alta di quella che si imprime durante la normale masticazione.
- Erosione chimica: una dieta ricca di cibi acidi (agrumi, bevande energetiche, cole) o problemi di salute come il reflusso gastroesofageo e la bulimia possono “sciogliere” i minerali del dente, rendendolo morbido e vulnerabile.
- Malocclusione: se i denti non chiudono correttamente, le forze masticatorie si distribuiscono in modo diseguale, usurando alcune superfici dentali più di altre.

Esempio danni provocati dal bruxismo

Esempio di erosione da reflusso gastro-esofageo

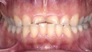
Usura causata da erosione prima del trattamento
In molti casi, ci troviamo di fronte a una combinazione di questi fattori (corrosione + attrito). Una diagnosi corretta e professionale è ciò che differenzia un trattamento temporaneo da una riabilitazione orale efficace.

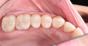
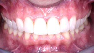
Dopo il trattamento

Dopo il trattamento
Se un tempo la ricostruzione significava “togliere il dente per fare spazio a una capsula”, oggi il nostro approccio è diametralmente opposto: utilizziamo la tecnica additiva. Di cosa si tratta e come funziona?
Come avviene la ricostruzione: aggiungere, non togliere
In passato, per ricostruire i denti usurati, la soluzione standard era la corona (la cosiddetta “capsula”). Questa metodica richiedeva di limare il dente, trasformandolo in una specie di piccolo “moncone” e sacrificando quindi gran parte della struttura sana rimasta. Pensa, era quasi un paradosso: rimuovere ancora più dente per poterlo salvare. Invece, ad oggi la visione si è completamente ribaltata.
Il principio della massima conservazione del dente sano
La filosofia minimamente invasiva prevede di “aggiungere” anziché “togliere”, come dicevamo poco fa. Grazie alle moderne resine composite e alle ceramiche feldspatiche, possiamo attaccare, o meglio, incollare (adesione biomimetica) le parti mancanti direttamente sulla struttura dentale residua. In questo modo, il dente ricostruito diventa un tutt’uno con il materiale aggiuntivo, ripristinando la forza biomeccanica originale. Questo processo ci consente di:
- Recuperare la dimensione verticale del dente: restituiamo ai denti l’altezza che avevano prima dell’usura, ridando anche sostegno alle labbra.
- Proteggere i nervi: coprendo la dentina esposta, eliminiamo la sensibilità dentale e proteggiamo il cuore del dente da ulteriori traumi.
- Stabilizzare l’occlusione: facciamo in modo che i denti tornino a toccarsi nel modo adeguato, fermando il processo di consunzione causato da sfregamenti anomali.
In pratica, lo scopo è sempre rispettare la biologia della persona e di valutare il tessuto biologico residuo: ogni millimetro di smalto naturale è materiale prezioso che cerchiamo di proteggere, poiché lo smalto è il miglior substrato per l’adesione dei materiali moderni. Vediamo quindi insieme le soluzioni professionali per ovviare all’usura dentale.
Le soluzioni avanzate di riabilitazione orale per ricostruire i denti usurati
Nel primo paragrafo parlavamo di “approccio olistico”: la soluzione non è mai un singolo elemento, ma un progetto integrato che coinvolga tutti i denti per recuperarne l’equilibrio, l’estetica e la funzione.
Faccette in ceramica per il settore anteriore
Le faccette dentali estetiche sono sottilissime lamine di ceramica (spesse quanto una lente a contatto) che vengono applicate sulla superficie esterna dei denti anteriori. Sono la soluzione ideale per:
- Ripristinare la lunghezza dei denti consumati.
- Chiudere spazi (diastemi) dovuti allo spostamento dei denti.
- Assicurare una stabilità cromatica che lo smalto naturale usurato non ha più.
Intarsi e overlay (table top) per i settori posteriori
Se i tuoi molari sono piatti e non riesci più a masticare correttamente, gli overlay sono la risposta. Sono come dei “tappetini” in ceramica o materiali ibridi che vengono incollati sulla superficie masticatoria, e sono utili per recuperare l’altezza. Infatti, rialzando i denti posteriori, si crea lo spazio necessario per ricostruire i denti anteriori, senza dover devitalizzare o limare nulla.
Corone: solo se strettamente necessarie
Lo abbiamo accennato poco fa. Riserviamo le corone complete solo ai casi in cui il dente è così compromesso (per grandi carie o fratture pregresse) da non poter sostenere un intarsio. Utilizziamo materiali come la zirconia o il disilicato di litio, senza il fastidioso “bordino nero” metallico delle vecchie capsule, con una resistenza assai elevata.
Perciò, il risultato di una riabilitazione orale moderna non è solo un “bel sorriso”, ma anche una recuperata funzione masticatoria.
Cosa aspettarti dopo la ricostruzione: estetica e comfort masticatorio
Il risultato di una riabilitazione orale professionale, affidabile ed efficace non è solo un “bel sorriso”. Di solito, i benefici che le persone riferiscono sono:
- Benessere psicologico e maggiore sicurezza: smettere di nascondere la bocca mentre si ride o si parla ha un notevole impatto sull’autostima.
- Benessere fisico: il ripristino della corretta dimensione verticale rilassa i muscoli della masticazione, con una riduzione di emicranie, cervicalgie e tensioni croniche.
- Facilità di igiene orale: le superfici in ceramica moderna sono lisce e bio-inerti, e ciò riduce l’accumulo di placca.
Non solo cura, ma anche prevenzione e mantenimento, scopriamo insieme di più.
Mantenere i denti sani: l’importanza dell’igiene e del bite notturno
Una volta ritrovato il tuo sorriso, il nostro obiettivo è farlo durare molto a lungo: non vogliamo che torni tra due anni con lo stesso problema! Per questa ragione, la fase di mantenimento include:
- Bite dentale: se l’usura originale è causata dal bruxismo e la dentina non è ancora esposta, è opportuno proteggere i denti con un bite notturno. Il bite agisce come un ammortizzatore, impedendo il digrignamento durante il sonno.
- Igiene orale professionale: ti seguiremo con richiami periodici per verificare l’integrità dei restauri adesivi e la tua salute gengivale.
- Abitudini quotidiane: piccoli accorgimenti alimentari (soprattutto la riduzione delle bevande acide o l’uso di una cannuccia) ti aiuteranno a preservare la lucentezza della ceramica nel tempo.
A questo punto ti chiederai come puoi capire se i tuoi denti sono usurati: te lo spiego subito.
Denti rovinati: quali segni di usura notare?
L’usura dentale è un processo subdolo perché è spesso indolore nelle prime fasi. Tuttavia, quando il danno diventa visibile, l’impatto è sia estetico sia funzionale. Ecco i segnali da osservare con attenzione:
- Perdita di altezza dei denti: i denti appaiono come “mangiati”, piatti e più corti.
- Trasparenza e scheggiature: i margini dei denti anteriori si assottigliano, tendendo a scheggiarsi anche durante la normale masticazione.
- Ingiallimento: l’usura consuma lo smalto, esponendo la dentina sottostante, che ha un colore naturalmente più scuro e giallastro.
- Cambiamenti nel profilo del volto: quando i denti si consumano, la distanza tra mento e naso si riduce (diminuzione della dimensione verticale). Ciò determina un collasso dei tessuti molli, facendo sembrare le labbra più sottili e le rughe d’espressione più accentuate.
Se noti che i tuoi denti sono rovinati, non preoccuparti: sei in tempo per ritrovare il tuo sorriso. Rivolgiti a noi per una valutazione professionale e approfondita: puoi scrivermi all’indirizzo simone@simonevaccari.it oppure rivolgerti allo studio, ci troverai a tua completa disposizione, il tuo sorriso sano è la nostra priorità.
Lascia un commento