La storia di Valentina

Valentina è una ragazza che ti travolge, anzi che ti stravolge la vita! A fronte di una grossa sfortuna ha saputa reagire in modo unico ed esemplare. Vedevo in lei gli occhi di che ne ha passate tante ma il sorriso di chi le superate tutte. Mi sentivo obbligato davanti a così tanta vitalità a dare il mio meglio e oltre.

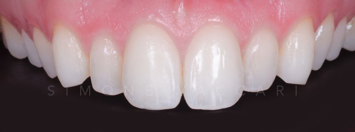
Valentina prima e dopo

Il suo sorriso oggi è per tutti noi fonte di orgoglio e grande soddisfazione, sorride alla vita come poche volte ho visto prima. Grazie di cuore Valentina per averci insegnato che le cose importanti nella vita sono ben più importanti di quelle a cui tutti noi di solito pensiamo.

PRIMA
DOPO
HAI BISOGNO DI MAGGIORI INFORMAZIONI?
CONTATTACI
TELEFONO WHATSAPP E-MAIL