La storia di Marco

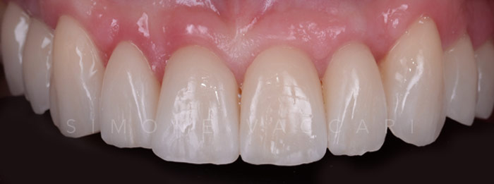
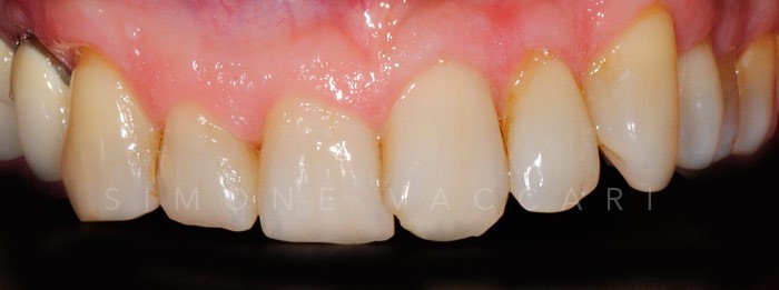
Devo dire che poche volte nella mia vita lavorativa ho trovato pazienti decisi e motivati come Marco. Da subito, sapeva benissimo cosa voleva realizzare. Ci siamo concentrati in primis sulla parte funzionale, riabilitando i settori posteriori e trovando un’ottima funzionalità masticatoria. Poi, senza indugiare, sulla parte estetica. Il cammino di Marco è stato lungo e in salita, il piano di trattamento infatti prevedeva una parte con apparecchio fisso, poi un intervento sulle gengive e solo alla fine le faccette in ceramica.

 

Approfitto di queste poche righe per ringraziarti Marco… per la fiducia che mi hai sempre mostrato, sebbene ci fossimo conosciuti da pochissimo. Grazie anche per i mille apprezzamenti che mi ripagano della tanta energia che spendo nella professione.
Ora vai e sorridi, il mondo è tuo!

PRIMA
DOPO
HAI BISOGNO DI MAGGIORI INFORMAZIONI?
CONTATTACI
TELEFONO WHATSAPP E-MAIL