La storia di Giovanna

Aver conosciuto Giovanna è stata per una grossa fortuna. Ho imparato tanto da lei, direi che è stata l’ennesima lezione di vita che mi è stata impartita dai mie pazienti. Era da diverso tempo che Giovanna voleva migliorare il suo sorriso, purtroppo però un grave problema personale l’aveva costretta a rimanere lontana dal mio studio.
Dopo aver lottato e aver vinto una sfida molto importante per la sua vita si è rivolta a me raccontandomi la sua storia.
Sono stato colpito dalla sua voglia di vivere, dalla sua positività e dal suo desiderio di tornare a sorridere, nonostante la vita l’avesse messa a dura prova.

 

Ho da subito preso di petto la situazione e mi sono detto: “Giovanna si merita il meglio”.
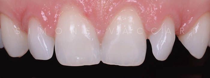
Dopo pochi incontri siamo riusciti ad ottenere quanto desiderato da tempo, il suo sorriso, che è per me fonte di gioia infinita. Grazie Giovanna per avermi insegnato che davanti alle difficoltà è inutile lamentarsi, a volte la vita ci fa uno sgambetto, ma da te ho imparato che bisogna saper sempre rialzarsi.

PRIMA
Giovanna faccette dopo Dopo
HAI BISOGNO DI MAGGIORI INFORMAZIONI?
CONTATTACI
TELEFONO WHATSAPP E-MAIL