La storia di Alice S.

Indice

Cosa succede quando ci si rivolge a dentisti che non svolgono il proprio lavoro con professionalità e competenza? Ce lo racconta con simpatia Alice, in questa testimonianza preziosa per capire quanto sia importante affidarsi a mani esperte e sicure.

Ho sempre avuto una grande cura dei miei denti, e ogni due o tre mesi ero dal dentista” afferma Alice, che ha più volte riscontrato qualche problema con le carie. Sin da bambina si era affidata a un dentista che si è rivelato essere la persona sbagliata, causandole non pochi danni, finché, continua Alice, “ho capito che era ora di cercare un professionista serio, che sapesse realmente cosa fare”.

 

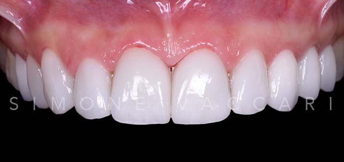
Alice dettagli del viso dopo il trattamento con le faccette

Ed è qui che inizia la ricerca di Alice, che l’ha condotta al nostro studio odontoiatrico a Modena: “Ho scoperto Simone tramite Youtube, dove ci sono tantissime interviste di pazienti che hanno intrapreso un percorso con lui. Ho subito preso appuntamento e sono stata accolta dalle fantastiche ragazze della reception e dallo stesso Simone, che ha “scannerizzato” il mio sorriso e si è immediatamente accorto del disastro che c’era da sistemare!

 

Il percorso di Alice è durato un anno intero, perché c’erano molte problematiche da sistemare, legate alle carie. “Non capivo perché le carie continuassero a spuntare come funghi. Simone mi ha spiegato che i miei denti erano stati curati con un approccio sbagliato: un dente cariato e curato è un dente più fragile e potrebbe avere nuovamente problemi”.

 

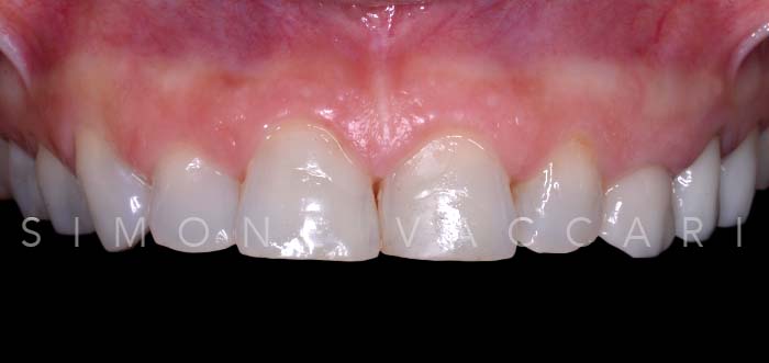
Alice S prima del trattamento con le faccette dentali dettaglio dentatura Prima
Alice S dopo il trattamento con le faccette dentali dettaglio dentatura Dopo

Oltre alle carie, è emerso anche un grosso problema funzionale, dovuto al bruxismo (digrignamento dei denti), che aveva causato la consunzione della dentatura, soprattutto incisivi e arcata superiore.

 

Simone ha dovuto dilazionare i trattamenti in un anno, tante erano le cose da sistemare. Rifarei daccapo tutto il percorso: non solo non ho più alcun problema di carie a due anni di distanza, ed è un enorme successo, ma ho ripristinato la corretta chiusura dentale e ottenuto il sorriso che non ho mai avuto e che ho sempre desiderato. Le faccette dentali sono state una vera rivoluzione per me!”

 

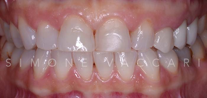
Alice S prima del trattamento con le faccette dentali dettaglio dentatura superiore Prima
Alice S dopo del trattamento con le faccette dentali dettaglio dentatura superiore Dopo

Alice continua la sua testimonianza: “Affidarsi a Simone significa scegliere un professionista con un approccio olistico: non solo ha un’estrema attenzione per la funzionalità della bocca, ma anche per l’estetica del sorriso, che è fondamentale per acquisire sicurezza in sé; Simone in questo è un vero maestro”.

 

Vedere Alice finalmente soddisfatta e serena è una grande emozione, oltre che un’immensa soddisfazione professionale.

 

Grazie alle faccette dentali, anche tu puoi tornare a sorridere, nonostante pensi sia impossibile. Un bel sorriso regolare con denti perfetti fa la differenza, migliora la tua autostima e la tua vita di relazione. Cosa può fare questo trattamento per il tuo sorriso?

 

 

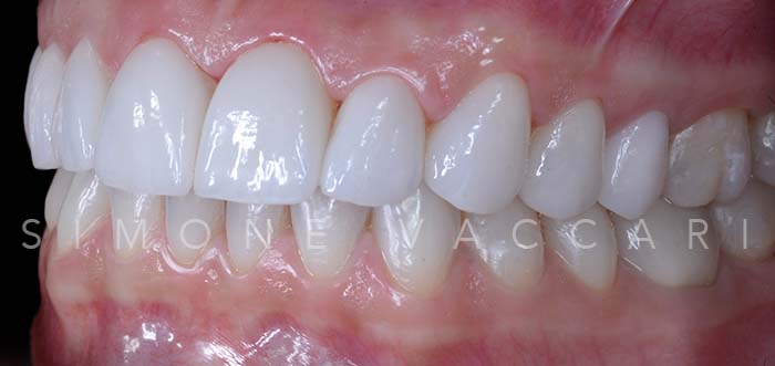
Alice S prima del trattamento con le faccette dentali dettaglio dentatura laterale Prima
Alice S dopo del trattamento con le faccette dentali dettaglio dentatura laterale Dopo

Le faccette estetiche consentono principalmente di intervenire su inestetismi o difficoltà masticatorie dovute ad alcune situazioni:

  • Denti storti, rotti o scheggiati.
  • Denti con macchie.
  • Denti con una forma poco gradevole.
  • Denti abrasi e consumati.
  • Otturazioni brutte da vedere.
  • Spazio tra i denti (diastema).

 

video
Prima e dopo le Faccette Dentali: l'esperienza di Alice S.
Rifarei daccapo tutto il percorso: non solo non ho più alcun problema di carie a due anni di distanza, ed è un enorme successo, ma ho ripristinato la corretta chiusura dentale e ottenuto il sorriso che non ho mai avuto e che ho sempre desiderato.
GUARDA IL VIDEO

I vantaggi delle faccette dentali sono svariati, ed è poco l’impegno richiesto al paziente o alla paziente:

  • Procedura rapida: solo due appuntamenti, oltre alla visita preliminare.
  • Tecnica molto conservativa: viene rimossa solo una minima parte del dente, mentre in alcuni casi i denti non vengono proprio toccati.
  • Biocompatibilità: la ceramica è il materiale più tollerato da denti e gengive.
  • Aspetto naturale: le faccette sono il restauro odontoiatrico con la più alta resa estetica.
  • Impercettibilità delle faccette anche allo sguardo più attento.
  • Risultato permanente.

Se la testimonianza di Alice ha stimolato la tua curiosità e il tuo interesse, ti invito a dare un’occhiata a tutte le testimonianze dei pazienti e delle pazienti che hanno scelto il nostro studio odontoiatrico.

HAI BISOGNO DI MAGGIORI INFORMAZIONI?
CONTATTACI
TELEFONO WHATSAPP E-MAIL