- Problemi di smalto eroso: cosa succede ai denti?
- Quali sono le 5 possibili cause dell’erosione dentale?
- Denti con smalto eroso: quali sono i segnali da notare?
- Perché lo smalto dentale non si rigenera da solo?
- Cosa fare in caso di erosione dentale lieve
- Cosa fare in caso di erosione dentale moderata
- Cosa fare in caso di erosione dentale severa
- Cupping (o incappucciamento)
- Restoration standing proud (restauri in rilievo/sollevati)
- Dentina esposta
- In che modo questi segnali guidano la scelta tra faccette, intarsi e corone?
- Abitudini alimentari e pratiche preventive
- Prevenzione clinica e domiciliare
Hai per caso notato che i tuoi denti sono diventati più trasparenti sui bordi, di colore giallastro oppure avverti una fastidiosa sensibilità al freddo? Questi sono spesso i primi segnali dell’erosione dentale, una forma di usura acida che consuma lo smalto dei denti e che potrebbe alterare il tuo sorriso. Niente paura: siamo qui apposta per scoprire le cause dello smalto consumato e come prevenirle.
Problemi di smalto eroso: cosa succede ai denti?
L’erosione dentale è la perdita progressiva e irreversibile della superficie dura del dente (smalto e dentina, nei casi più avanzati), che può causare diversi problemi, non solo di estetica dentale.
Questa situazione di smalto dentale rovinato è provocata da un processo chimico che non coinvolge l’azione diretta dei batteri (a differenza della carie). In parole semplici, è una sorta di “dissoluzione acida” della struttura minerale del dente.
Lo smalto dei denti è composto per il 97% da sostanze minerali. I valori considerati normali per il pH di smalto e dentina sono compresi tra 5.5 e 5.7. Quando il pH scende sotto 5.5, i cristalli di idrossiapatite di cui è composto lo smalto si dissolvono, portando alla demineralizzazione.
Quindi, lo smalto consumato dei denti non è causato dai batteri, come accade invece per la carie, ma è provocato dall’attacco diretto degli acidi allo smalto dentale. Anche se l’origine dell’erosione dentale è complessa e multifattoriale, l’acidità è l’agente principale nel processo erosivo.
L’erosione dentale in breve
Cosa sapere:
- Processo di erosione: l’acido scioglie i cristalli di idrossiapatite che compongono lo smalto dentale.
- Differenza rispetto alla carie: la carie è causata dai batteri che metabolizzano gli zuccheri, creando cavità nei denti; l’erosione è determinata da acidi di origine esterna (estrinseca, come l’assunzione di cibi e bevande acide) o interna (intrinseca) all’organismo, come il reflusso gastrico (e non solo).
- Differenza rispetto all’usura meccanica: quest’ultima è causata dallo sfregamento fisico contro il dente. Si divide principalmente in due tipi: l’abrasione, provocata da oggetti esterni (un esempio tipico è lo spazzolamento troppo energico); l’attrito, causato dal contatto dente contro dente, tipico del bruxismo (digrignamento/serramento dei denti). In queste situazioni, i denti appaiono “piatti” o corti, con le cuspidi dei molari spianate.
A questo proposito, prima di addentrarci nell’argomento, ti suggerisco la lettura di un nostro articolo dedicato: Smalto dei denti rovinato: cause e rimedi per ritrovare lo smalto perduto.
Nel nostro studio dentistico di Modena, la prevenzione passa sempre attraverso la conoscenza e la consapevolezza. Vediamo insieme le principali cause dello smalto dentale rovinato.
Quali sono le 5 possibili cause dell’erosione dentale?
Forse ti sorprenderà sapere che alcune cause dell’attacco acido allo smalto dei denti sono abitudini molto diffuse:
1. Consumo di alimenti e bibite acide
Molti regimi alimentari includono alimenti e bevande acide: soft drinks, energy drinks, succhi di frutta, agrumi e prodotti a base di aceto.
A proposito di effetti erosivi dati dall’acidità di succhi e agrumi, uno studio comparativo dell’Università Justus Liebig, Giessen, Germania ha osservato che chi segue la dieta crudista, nota come raw food diet, con una ingente quota di frutta e verdura cruda, sviluppa un maggiore rischio di erosione dentale rispetto a chi segue una nutrizione convenzionale; i dati sono significativi:
- Solo il 2.3% del gruppo crudista non presentava difetti erosivi.
- Il 37.2% del gruppo crudista presentava almeno un dente con un’erosione moderata.
- Il 60.5% del gruppo crudista aveva almeno un dente con un’erosione severa.
Il Regno Unito, tra i 10 Paesi con un alto consumo di bevande gassate, ha storicamente mostrato elevati livelli di usura dentale nella popolazione più giovane. Bibite come gli energy drinks contengono:
- Zuccheri facilmente fermentabili, ad esempio il saccarosio. Nel biofilm della bocca, questi zuccheri sono rapidamente metabolizzati in acidi, che innescano la demineralizzazione dello smalto e contribuiscono anche all’aumento del rischio di sviluppare lesioni cariose.
- Componenti tendenzialmente acidi, in grado di abbassare il pH sotto la soglia critica di 5.5, alla quale inizia il processo di demineralizzazione.
Oltre al tipo di bevande, ci sono poi due abitudini rischiose nemiche dello smalto dentale: trattenere le bibite in bocca (swishing) o sorseggiare a lungo (sipping).
2. Abitudini viziate
Ci sono due abitudini particolarmente dannose che possono trasformare un consumo occasionale in un’aggressione acida prolungata:
- Swishing (trattenere o “sciacquare”): quando fai “roteare” una bibita in bocca prima di deglutire, favorisci attivamente l’azione di acidi e zuccheri tra gli spazi interdentali, oltre a prolungare il contatto dei tuoi denti con gli agenti erosivi. Ciò massimizza l’interazione diretta tra l’acido e lo smalto su tutte le superfici dentali, accelerando la demineralizzazione meccanica.
- Sipping (sorseggiare a lungo): bere una bevanda acida (per esempio una soda, una spremuta, del vino) abbassa il pH della bocca sotto la soglia critica (circa 5.5); sorseggiando continuamente, impedisci alla saliva di neutralizzare l’acidità e di attivare la remineralizzazione naturale. È come mantenere i tuoi denti in una sorta di “bagno acido” perenne.
Perciò, il danno non dipende solo da cosa bevi, ma da quanto tempo il tuo smalto dentale rimane esposto all’acido prima che la saliva possa agire per proteggerlo.
3. Reflusso gastroesofageo (GERD)
L’erosione da reflusso (o da ernia iatale, che ha lo stesso meccanismo) è molto frequente. Infatti, l’esposizione ai contenuti gastrici acido-pepsinici è la causa più frequente di erosione intrinseca. La progressione può essere rapida, soprattutto nelle persone che sperimentano episodi notturni di reflusso.

Esempio di reflusso gastro-esofageo
Anche alcuni farmaci possono promuovere l’erosione dentale, lo sapevi? Vediamoli insieme.
4. Farmaci e situazioni che riducono la salivazione
La saliva è un efficace sistema tampone degli acidi presenti nella bocca. Farmaci come antidepressivi, antistaminici, antipertensivi o broncodilatatori possono ridurre il flusso salivare, causando secchezza della bocca (secchezza delle fauci o xerostomia).
Anche la Vitamina C (ad esempio le compresse masticabili) può esporre al problema erosivo: chimicamente è un acido (acido ascorbico) con un pH molto basso, molto al di sotto della soglia critica di 5.5 a cui lo smalto del dente inizia a sciogliersi.
5. Disturbi dell’alimentazione
Anoressia e bulimia sono spesso correlate a problemi di erosione dentale. L’anoressia, associata spesso a reflusso, e la bulimia, caratterizzata da vomito autoindotto, provocano abitualmente un processo erosivo particolarmente rapido.
I dati epidemiologici non sono incoraggianti: in Italia, oltre tre milioni di persone soffrono di un Disturbo della Nutrizione e dell’Alimentazione (DNA), il 30% al di sotto dei 14 anni, e questo dato sottolinea l’importanza del ruolo di odontoiatra e igienista dentale nella diagnosi precoce di DNA e nella prevenzione dell’erosione, soprattutto considerando percorsi terapeutici spesso lunghi e non risolutivi.
Vediamo insieme come accorgerti dell’erosione dentale e i segnali da notare.
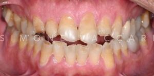
Denti con smalto eroso: quali sono i segnali da notare?
Come affermavamo all’inizio di questo articolo, lo smalto dentale è il tessuto più duro del nostro corpo, ma la sua resistenza ha un limite.
Quando lo smalto dentale si indebolisce e si dissolve, i segnali si fanno evidenti:
- Aumento della sensibilità: lo smalto consumato espone la dentina sottostante, consentendo agli stimoli termici (freddo o caldo) di raggiungere il nervo.
- Bordi dei denti traslucidi: nello stadio iniziale, i bordi dei denti anteriori possono apparire piuttosto sottili e quasi trasparenti.
- Denti dal colore giallastro: con l’assottigliamento e la progressiva rimozione dello smalto, emerge il colore giallastro della dentina.
- Denti dall’aspetto “setoso” e lucido (silky-glazed appearance): le superfici erose diventano spesso lisce e lucide (a differenza, invece, dell’aspetto opaco dei denti con carie).
- Forma arrotondata delle cuspidi: nelle fasi severe, le superfici occlusali (cioè quelle con cui mastichi) perdono la loro normale anatomia e le cuspidi dei molari appaiono arrotondate o concave (cupping).
Questa perdita di struttura del dente non si rigenera: perché? Lo scopriamo subito insieme.
Perché lo smalto dentale non si rigenera da solo?
Lo smalto dei denti non si rigenera perché è un tessuto privo di cellule vive: gli ameloblasti, responsabili della sua formazione, muoiono non appena il dente spunta, rendendo impossibile la produzione di nuovo materiale.
Essendo una struttura quasi esclusivamente minerale e priva di vasi sanguigni, lo smalto non riesce ad attivare processi di guarigione biologica, come accade per la pelle o le ossa; pertanto, una volta usurato o perso, può essere solo rinforzato chimicamente (reminerilizzazione) o ricostruito artificialmente dall’odontoiatra.
Per questa ragione, la prevenzione e la diagnosi precoce sono molto importanti. L’odontoiatra valuta l’entità della perdita di smalto mediante ispezione visiva e può utilizzare radiografie dentali per esaminare le condizioni della dentina e della polpa sottostanti. IN base alla situazione clinica, si deciderà come gestire e ridurre la situazione.
Come puoi proteggere lo smalto dei tuoi denti? Consigli e prevenzione
Fermare l’erosione dei denti è un lavoro di collaborazione tra dentista e paziente. Ecco alcune strategie pratiche per proteggere il tuo smalto ogni giorno.
Cosa fare in caso di erosione dentale lieve
In questo caso, si tiene la situazione sotto controllo con alcuni consigli di natura pratica, senza necessità di intervenire a livello locale:
- Riduci il consumo di cibi molto acidi;
- Esegui correttamente l’igiene dentale (spazzolino giusto, movimenti corretti e non troppo energici: l’igienista dentale saprà fornirti adeguate indicazioni).
Invece, cosa fare se c’è esposizione della dentina?
Cosa fare in caso di erosione dentale moderata
Se c’è esposizione della dentina, è necessario proteggerla con la realizzazione di otturazioni bianche, per ripristinare la sostanza dentale consumata. Abbiamo scritto due approfondimenti sulle otturazioni dentali:
- Otturazioni in composito per la cura della carie
- Otturazioni in amalgama: sono pericolose per la salute?
Se l’erosione dei denti è severa, è necessario ricostruire i denti danneggiati.
Cosa fare in caso di erosione dentale severa
Le manifestazioni cliniche di usura dentale avanzata sono tre:
- Cupping;
- Restoration standing proud (Restauri preesistenti in rilievo/sollevati);
- Dentina esposta.
Vediamoli brevemente insieme.
Cupping (o incappucciamento)
Il cupping (o incappucciamento) è un segno clinico che si manifesta come una depressione concava, lucida con la forma di “tazza”, solitamente sulla superficie masticatoria, dove lo smalto (più resistente) forma un anello sui bordi, attorno alla dentina, che è stata consumata più rapidamente dall’attacco acido.
Restoration standing proud (restauri in rilievo/sollevati)
In questo caso, i restauri preesistenti appaiono in rilievo (o sollevati) rispetto al dente naturale consumato, e ciò indica che il materiale da restauro è più resistente all’attacco acido.
Dentina esposta
Ai segnali precedenti si aggiunge la dentina esposta, che appare come un’area più scura e giallastra, poiché il colore della dentina è più scuro di quello dello smalto, e tendente al giallo. Essendo più morbida e dotata di tubuli rispetto allo smalto, la dentina scoperta non solo accelera la progressione dell’usura, ma è anche la causa principale della sensibilità dentale.
In che modo questi segnali guidano la scelta tra faccette, intarsi e corone?
Per i denti posteriori colpiti da cupping o con restauri sollevati si privilegiano solitamente l’intarsio dentale o la corona protesica o capsula: permettono di ricostruire la forma anatomica del dente e proteggere la dentina in modo conservativo.
Solo nei casi di danno molto esteso, dove la struttura residua è insufficiente, si ricorre la corona protesica in ceramica integrale, offrendo una copertura a 360° per la massima protezione.
Sui denti anteriori, dove il danno si manifesta con scheggiature o forte perdita di lunghezza, la soluzione ideale è spesso rappresentata dalle faccette dentali estetiche in ceramica, il cui scopo è l’allungamento e il ripristino estetico.
A proposito: se ti interessa, ti invito a leggere i nostri approfondimenti dedicati all’estetica dentale.
L’approccio generale resta sempre il restauro additivo: si aggiunge il materiale necessario dove è stato perso per irrobustire il dente consumato, proteggere la struttura residua dall’usura progressiva e recuperare l’equilibrio occlusale.
Abitudini alimentari e pratiche preventive
Piccoli gesti che fanno la differenza:
- Utilizza una cannuccia per le bevande acide: l’uso della cannuccia riduce il contatto diretto del liquido con le superfici dentali.
- Risciacquo della bocca: dopo aver consumato alimenti o bibite acide (o dopo un episodio di reflusso/vomito), non spazzolare subito i denti. Infatti, lo smalto è ammorbidito dagli agenti acidi, e lo spazzolamento causerebbe un’abrasione immediata. Invece, sciacqua la bocca con acqua o un collutorio neutro per neutralizzare l’acidità, e attendi almeno 30-60 minuti prima di spazzolare.
- Stimola la saliva: promuovi l’autodetersione sgranocchiando ortaggi e frutta croccante, come ad esempio sedano, mela e finocchio: Infatti, la masticazione favorisce la produzione della saliva, che neutralizza gli acidi del cavo orale. Inoltre, masticare alimenti croccanti e stimolare la produzione di saliva aiuta a “pulire” denti e gengive dai residui di cibo, diminuendo il rischio di carie.
Oltre a queste buone abitudini, sono fondamentali i controlli odontoiatrici professionali, lo vediamo subito.
Prevenzione clinica e domiciliare
Affidati sempre a uno studio dentistico serio, che saprà seguirti al meglio e suggerirti i trattamenti e i dispositivi migliori per te:
- Dentifrici e prodotti a base di fluoro: utilizzare dentifrici con fluoro e altri agenti remineralizzanti aiuta a rendere lo smalto più resistente all’attacco acido. L’odontoiatra e l’igienista sapranno consigliarti al meglio.
- Trattamenti professionali in studio: su indicazione dell’odontoiatra, possono essere applicati trattamenti topici professionali a base di fluoro o vernici protettive.
- Trattamento delle cause interne: se l’erosione è causata da reflusso o GERD, la collaborazione con medico di base o gastroenterologo per la gestione della patologia è la strategia più importante per proteggere il tuo smalto.
L’erosione dentale è una condizione complessa, ma gestibile. Intervenire in fretta, modificando le tue abitudini e seguendo abitudini comportamentali appropriate, è la chiave per preservare il tuo sorriso nella sua integrità.
Se noti segnali di smalto consumato o avverti sensibilità, rivolgiti a noi. Prenota la tua prima visita di controllo per una valutazione approfondita. Scrivimi all’indirizzo simone@simonevaccari.it oppure rivolgiti allo studio: siamo a tua completa disposizione, tornerai a sorridere in serenità.

Lascia un commento