La storia di Elisabetta

La storia di Elisabetta è iniziata nel momento in cui si è presentata presso il mio studio con un sorriso come si suole dire “a 32 denti”.
Una donna felice, solare, energica con un entusiasmo senza fine. Appena l’ho vista mi sono detto: “Questa donna non ha certo bisogno di me!”. Dopo esserci presentati, però, Elisabetta mi racconta si sée io comincio a capire perché mi ha chiesto un consulto.
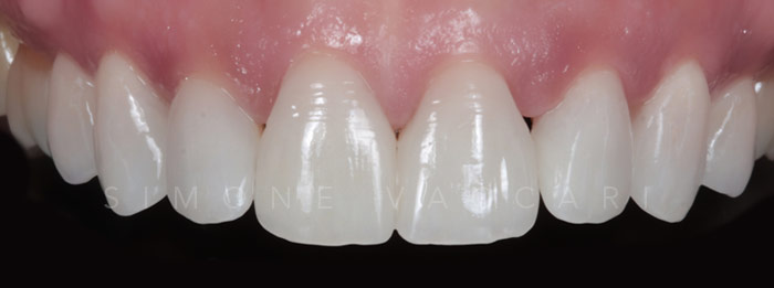
Da bambina Elisabetta è stata colpita da una grave infezione polmonare, i medici per salvarle la vita hanno dovuto farle infusioni di antibiotici per lungo tempo. Ciò le aveva causato una colorazione marrone scuro nei denti con bande biancastre, – tipica pigmentazione da tetracicline -, che rendeva il suo sorriso particolarmente sgradevole alla vista. Mi confessa che ciò era per lei è fonte di imbarazzo; le piace ridere e stare in mezzo alla gente, però quel sorriso non la faca sentire completamente a suo agio.
Ho proposto il mio trattamento finalizzato a migliorare sia il colore, ma anche la forma e la disposizione dei denti. Elisabetta non ha esitato nemmeno un attimo, ha accettato la mia proposta, desiderosa di cominciare il trattamento quanto prima possibile.

Ricordo di avere realizzato il suo sorriso poco prima dell’estate. Purtroppo nel mio centro giugno e luglio sono mesi di forte lavoro, poi finalmente in agosto andiamo tutti in ferie. Così ho rivisto Elisabetta al controllo solo a Settembre e… non potevo credere ai miei occhi! Era proprio lei? Si era completamente trasformata. Era diventata una donna nuova, con un nuovo look e un nuovo modo di presentarsi, che emanava sicurezza, eleganza, decisione e grande charme. Il suo modo di sorridere era sempre quello, ma, come dire ciò che vi era intorno era completamente diverso.
Il caso di Elisabetta, come tanti altri simili che ho trattato, è per me fonte di inspirazione e mi stimola ad andare avanti con quello che faccio. A volte, un sorriso può veramente cambiare una persona. E intanto la storia di Elisabetta continua lungo i percorsi della vita…

PRIMA
DOPO
HAI BISOGNO DI MAGGIORI INFORMAZIONI?
CONTATTACI
TELEFONO WHATSAPP E-MAIL